Runwal Nagar, Thane West
08048068932
+918828888077

Glomerulonephritis in Runwal Nagar – Early Detection Can Save Kidneys

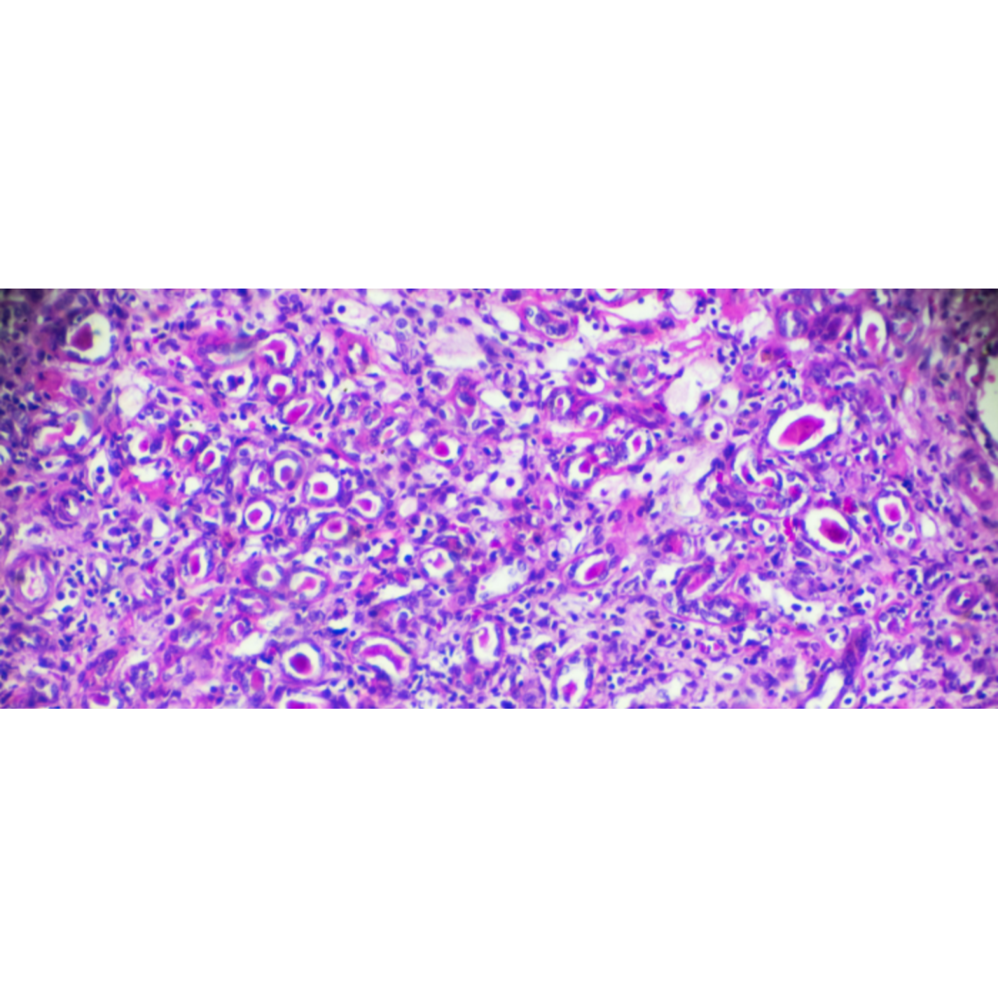
One of the serious conditions affecting the kidneys is Glomerulonephritis, where the tiny filters in the kidney become inflamed. Hope Kidney Care in Runwal Nagar provides specialized care for patients dealing with this condition.

Glomerulonephritis may develop suddenly or progress slowly over time. Symptoms include blood in urine, swelling in legs, or high blood pressure. Often, it is linked with autoimmune disorders or infections. Without early treatment, the condition may lead to permanent kidney damage and even failure.

At Hope Kidney Care, patients are diagnosed with advanced tests like kidney biopsy and urine analysis, ensuring the cause is identified quickly. Treatment may include medicines, lifestyle management, or supportive therapies depending on the stage of the disease.

If you notice unusual changes in urine or swelling, consult Hope Kidney Care in Runwal Nagar. Early treatment of Glomerulonephritis can protect kidney function and improve life quality.

 2025-10-31T11:51:49

Keywords